造成牙齿缺失的原因
来源:北京合众齿科发布日期:2015年07月20日
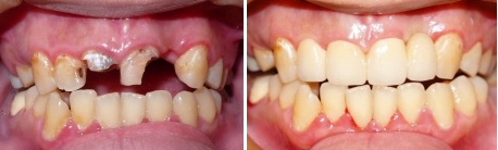
造成牙齿缺失的原因?生活中很多人由于意外发生导致牙齿缺失现象,这不仅影响美观,还会造成食物嵌塞,影响咀嚼功能减退,牙齿脱落等危害发生,因此为了避免牙齿缺失给自身造成伤害,大家一定要及早到正规的口腔医院进行牙齿修复,那么下面我们来具体了解牙齿缺失应该怎么进行牙齿修复!
合众齿科专家表示:造成牙齿缺失的原因有很多,主要有以下五大方面:
一、年龄的增长:牙龈、牙槽骨等牙周组织发生生理性退变、牙龈萎缩,牙槽骨进行性吸收,导致牙齿脱落,但不是缺牙的主要原因。
二、外伤:前牙或后牙均可因受伤而折断或脱落。外伤严重者还可伴有颌骨、牙槽骨、软组织的缺损。
三、牙周病:患牙周病后,牙周组织逐渐破坏、龈沟加深、形成牙周袋、牙槽骨吸收、牙齿松动、脱落或被拔除。
四、颌骨的骨髓炎:肿瘤等也是造成牙列缺损的原因。会导致不均匀磨耗、进而产生牙折、有时无法治疗而拔除。
五、龋病是口腔中的常见和多发病:患龋病时,牙体的破坏由浅变深,若不及时治疗,则牙齿硬组织不断破坏,以至发生牙髓炎、根尖周炎,造成牙冠缺损,成为残冠或残根。如果形成根尖脓肿,患牙可出现松动、触疼、最终因损坏严重无法治疗而被拔除。这也是牙齿脱落的主要原因之一。
温馨提示:选择种植牙一定要选择正规的医院。合众齿科拥有一流的医疗设施;高档舒适的诊疗环境;人性化的、精湛的诊疗服务;竭诚为社会各界提供优质、安全、高效、便捷的医疗服务。如果您还有什么疑问,>>>点击在线咨询服务<<<,或拨打合众齿科咨询电话:010-84729811,合众齿科口腔专家将用专业的知识为您解答。
上一篇:为什么牙齿缺失后要及时修复
下一篇:牙齿缺失应该如何治疗
