氟斑牙怎么美白
来源:北京合众齿科发布日期:2015年06月05日
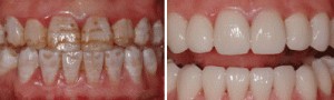
氟斑牙怎么美白?如何美白牙齿是我们众多的爱美朋友想了解的一件事,满口黄牙,你就是再会装扮,也会让你的形象大打折扣。氟斑牙是比较严重的牙齿着色问题,生活中有不少人有氟斑牙问题,一般的洗牙是很难去除氟斑牙的,那么现在就为大家介绍治疗氟斑牙的方法。

>>>点击咨询在线专家<<<
明星美容冠
合众齿科口腔美学修复中心在原有美容冠技术基础之上,结合德国先进的4D扫描仪器,采用全瓷材料打造牙冠全体,个性定制美牙方案,以卓越的材质、创新的工艺、出色的效果迅速研发出的新一代美容冠技术,解决各种牙齿难看的问题,让你从齿改变,一生美丽。
明星美容冠能够永久美白黄牙,氟斑牙,四环素牙,合众齿科采用VITASYSTEM 3D-MASTER系统,可完美的复制天然牙色。根据牙槽骨的形态对牙齿做精细修整,保障0.5mm精细手术,不损伤牙齿、牙龈。同时采用美容冠饰面溶解度远低于ISO要求标准,保证不退色,永久美白。
温馨提示:如果您还有其他疑问,>>>点击在线咨询服务<<<,专家根据您的牙齿情况可以做出针对性的诊疗方案。
上一篇:不磨牙的超薄贴面
下一篇:牙齿美白需要注意什么